2017年第8期《医学信息》
- 2018-01-23

目录
u母婴安全行动计划启动 孕产妇按风险程度分级
u宝宝严重低钠血症,如何抢救纠正?
u儿童急性中耳炎治疗:5天 OR 10天?
u治疗儿童青光眼的6类药
u2岁患儿输液后死亡,这对用药组合已成致命搭档
u新生儿肺透明膜病的诊治
u担心孩子长不高?这样来预测儿童身高
u母婴安全行动计划启动 孕产妇按风险程度分级
u香港流感造成315人死亡,人数或超SARS
u中国医院格局将迎来重新洗牌
u中国有望成为世界第一,这次是因为器官移植
uNEJM:动脉粥样硬化治疗的新靶点
u中国大陆2013-2017人禽流感H7N9病毒流行病学:实验室确诊病例的流行病学研究系列
uJ Transl Med:口腔扁平苔藓患者HCMV编码miRNA表达模式明显不同
u英国科学家发现抗生素耐药性与三氯生抗性之间的联系机理
u父亲年龄对妊娠结局的影响
uSTBEV或可导致冠状动脉内皮功能障碍
u接种宫颈癌疫苗是否有年龄限制
u中国完成亚洲首次孕前女性相关研究
uGnRH拮抗剂与激动剂长方案在IVF应用
u妊娠雌激素水平与母体乳腺癌关系如何
u排卵诱导药物应用的并发症及其防治
母婴安全行动计划启动 孕产妇按风险程度分级/新华社,2017,8,4
国家卫生计生委日前印发《关于加强母婴安全保障工作的通知》,启动母婴安全行动计划,要求二级以上医院对孕产妇进行妊娠风险评估分级,按照风险程度以“绿、黄、橙、红、紫”5种颜色进行分级标识,强化安全保护,从源头防范风险。
国家卫生计生委妇幼健康服务司相关负责人介绍,全面两孩政策实施后,在出生人口持续增长的形势下,2017年上半年全国母婴安全形势总体较为平稳,孕产妇死亡率控制在15.8/10万,大部分省份孕产妇死亡率较去年同期有所下降。但当前和未来一个时期,出生人口持续保持高位,高龄高危孕产妇增加,优质资源分布不均匀,部分地区母婴安全形势不容乐观。
通知指出,加强母婴安全保障工作要抓住4项重点:从源头严防风险,全面开展妊娠风险筛查与评估;紧盯重点人群,严格进行高危专案管理;严守安全底线,着力加强危急重症救治;建立督查机制,强化母婴安全责任落实。坚持预防为主、防治结合的原则,借鉴传染病防控的成功经验,全力维护每位孕产妇和新生儿的生命健康。
强化二级以上医疗机构妊娠风险评估责任。通知要求,二级以上医疗机构要对妊娠风险筛查为阳性的孕产妇进行妊娠风险评估分级,按照风险严重程度分别以“绿(低风险)、黄(一般风险)、橙(较高风险)、红(高风险)、紫(传染病)”5种颜色进行分级标识,加强分类管理。对于妊娠风险分级为“黄色”“橙色”“红色”和“紫色”的孕产妇,建议其在二级以上医疗机构接受孕产期保健服务和住院分娩。严格落实高危孕产妇专案管理措施,确保做到“发现一例、登记一例、报告一例、管理一例、救治一例”。
完善危重救治网络。通知明确,要确保到2017年年底,省级要有若干个危重孕产妇和新生儿救治中心,市、县两级均有至少1家危重孕产妇救治中心和1家危重新生儿救治中心。到2018年年底前,全面建成分级负责、上下联动、应对有序、运转高效的危重孕产妇和新生儿急救、会诊、转诊网络。各地要强化母婴安全保障措施,全面开展妊娠风险筛查与评估;紧盯重点人群,严格落实高危专案管理;死守安全底线,着力加强危急重症救治。省级建立工作台账,每个月定期调度工作进展。
宝宝严重低钠血症,如何抢救纠正?/医学界儿科频道,2017,7,31
2016年年初,曾经在病区遇到一个因为反复腹泻2天,导致高渗性脱水(高钠血症)的患儿(抢救实录!重度高渗性脱水患儿),在2016年年末,遇到另外一种极端,在病区接诊到一个因为反复呕吐10天,导致低钠血症的患儿。
小儿补液,是每一个儿科医生的基本功,在遇到不同情况的电解质紊乱患儿,我们仍需要仔细分析和计算,并给出合理的补液计划。以下,以近期遇到的这一例严重低钠血症病例为例,跟大家一起复习学习儿科低钠血症的治疗。
病例:
患儿L仔,男,16天,因“反复呕吐10天,抽搐1次”于2016-11-02 11:51由H县人民医院低流量吸氧下转入。
患儿系G2P2,胎龄41+4周,因其母“腹痛10小时”于2016年10月17日22:52在H县人民医院经阴道分娩出生,脐带绕颈1周,羊水、Apgar评分不详,否认出生窒息抢救史(未见纸质病历),出生体重2.8 kg,胎盘胎膜娩出完整。生后母婴同室,第二天随母出院,按需喂养母乳及配方奶,吸吮力可,现患儿自吮配方奶60 ml/次,每2-3小时喂养一次,生后第2天患儿皮肤稍黄染,予观察,现黄染无明显加重。
10月23日开始患儿每次喂养后约30分钟出现反复呕吐,呕吐物为豆腐渣样,酸臭味,量不详,5-6次/天,自行口服“八宝散”未有好转,伴全身散在皮疹,自行涂药膏后无好转。
11月2日04:00左右患儿出现颜面及口唇发绀,呼吸急促费力,四肢抖动,双手握拳,双眼凝视,持续约4分钟后情况较前改善,后精神转疲,07:00至H县人民医院就诊,予“吸氧、头孢哌酮抗感染、氨溴索祛痰”等治疗,考虑病重,建议转上级医院,遂随救护车鼻导管吸氧下来我院,途中神疲,无发绀,无再发抽搐,急诊拟“呕吐抽搐查因”收入我科进一步诊治。自出生以来患儿胎粪及小便均为生后24小时内排出,现大便2-3次/天,黄色软便,小便色清,量正常。已接种乙肝疫苗及卡介苗,未行新生儿疾病筛查。
体查:
T:36.6℃,P:154次/分,R:60次/分,BP:60/30 mmHg,头围34 cm,身长52 cm,Wt2.74 kg。足月儿外貌,精神疲,反应差。鼻导管吸氧下血氧饱和度95%,全身皮肤散在脓疱疹,全身皮肤中度黄染,经皮胆红素246μmol/L。头颅无畸形,未触及异常包块。前囟大小1.5 cm*1.5 cm,前囟平,张力不高。双侧瞳孔等圆等大,直径约2 mm,对光反射灵敏。口腔黏膜光滑,未见腭裂。颈软,胸廓无畸形,双侧对称,三凹征(+),呼吸急促,双肺呼吸音粗,未闻及干湿性啰音。心率154次/分,心律齐,未闻及杂音。腹软不胀,脐部渗液,脐周皮肤潮红,肝肋下未及,脾肋下未触及肿大,肠鸣音4次/分。双侧睾丸已降至阴囊。四肢脊柱未见畸形,未见脊柱裂。四肢肌张力稍高,触觉刺激下偶有肢体抖动,双下肢无水肿及硬肿,觅食反射、吸吮反射、握持反射可引出,拥抱反射未查。
辅助检查:末梢血糖10.9 mmol/L。
入院诊断:呕吐抽搐查因:颅内感染?电解质紊乱?脓疱疹;新生儿肺炎?应激性高血糖;新生儿脐炎。
入院后查急诊生化:
低钠血症诊断和分类:
1、根据血钠水平:
(1)血钠130~135 mmol/L为轻度低钠血症;
(2)血钠125~129 mmol/L为中毒低钠血症;
(3)血钠<125 mmol/L为重度低钠血症。
2、根据进展速度分类:
(1)低钠血症存在<48 h为急性钠血症;
(2)低钠血症存在≥48 h为慢性低钠血症;
(3)若不能确定低钠血症存在时间,在除外可引起急性低钠血症的因素后(包括:手术后期、烦渴、运动、结肠镜检查的准备、摇头丸、催产素、噻嗪类利尿剂、去氨加压素、特利加压素、抗利尿激素、静脉应用环磷酰胺等),建议考虑为慢性低钠血症。
3、根据有无临床症状分类:
(1)任何程度的血钠降低伴中度低钠血症症状定义为“中毒症状低钠血症”。其中,中度低钠血症症状包括:恶心不伴呕吐、意识模糊、头痛;
(2)任何程度的血钠降低伴重度低钠血症症状定义为“严重症状低钠血症”,其中重度低钠血症症状包括呕吐、心脏呼吸窘迫、异常和深度嗜睡、癫痫、昏迷(Glasgow≤8)。
治疗:
1、积极治疗原发病,去除病因;
2、轻症患儿(血清钠>120-130 mmol/L),应缓慢纠正低钠,在24-48小时内,逐渐把血钠提高到正常范围。(补钠和泵速计算公式见下文)
3、严重者,有明显的神经系统症状或血清钠低于120mmol/L的患儿,不论病因是什么,都应该迅速配置3%NS,尽快使得血清钠提高到125mmol/L以上(第一个24小时提高不超过10 mmol/L,第二个24小时起1天不超过8mmol/L,补钠速度不超过1 mmol/L.h)。(补钠和泵速计算公式见下文)
4、如果患儿存在脱水情况,应该同时纠正脱水、补充生理量,补充损伤量,分别计算并共同补液。
补钠计算公式:
补钠量计算:
每提高10 mmol/L的血清钠,需要0.9%NS 40ml/kg,或需要3%NS(浓钠)12ml/kg,一般先使用半量,复查生化后再决定下一步补液计划;
补钠速度计算:
儿科常规补钠速度要求:
临床一般要求补钠速度≤1 mmol/(L.h).
重症低钠血症患儿,血清钠提高到125 mmol/L以上后,应该逐渐减速,最终改用0.9%NS继续补充。
贴士:
按3%NS计算,补钠速度1 mmol/(L.h)=泵速1.2 ml/kg;
按0.9%NS计算,补钠速度1 mmol/(L.h)=泵速4 ml/kg.h。
3%NS配液:GS:10%NS=7:3配置或0.9%NS:10%NS=10:3配置)
第一个24小时提高不超过10 mmol/L,第二个24小时起1天不超过8mmol/L,48小时不超过18 mmol/L。
补钠速度过快容易导致:心脏骤停、脑水肿、脑桥和脑桥外脱髓鞘病变。
本文病例后续诊治结果:
该病例中的患儿,入院时血压、尿量正常,入院后查末梢血糖高,存在应激性高血糖。
入院后暂予0.9%NS输注,未见明显脱水貌,未排消化道畸形可能,有抽搐病史,入院后有再发抽搐1次,予镇静、禁食,按生理需要量60%输注常规营养液。
急查相关检查结果,生化Na104.1 mmol/L,K 2.53 mmol/L,存在低钠血症,低钾血症(该病例中,补钾量计算后加入上述常规营养液中),另管补钠,低钠血症方面,已经是重度低钠血症,存在神经系统症状,按补钠速度1 mmol/(L.H),用3%NS计算(现在临床一般要求24小时提高不超过10mmol/L,《儿科急诊医学》写明48小时内≤28 mmol/L,《实用儿科学》写明,24小时不超过12 mmol/L。2014年欧洲指南指出,第一个24小时提高不超过10 mmol/L,第二个24小时起1天内不超过8 mmol/L),予3%NS 33ml(3%NS配液:0.9%NS:10%NS=10:3配置),泵速3.3 ml/h。输注2小时后复查生化,提示血清钠105 mmol/L,继续输注完毕后复查生化:


儿童急性中耳炎治疗:5天 OR 10天?/医学界儿科频道,2017,7,29
急性中耳炎是儿童的常见病和多发病,是指细菌或病毒等病原体经过咽鼓管直接进入鼓式引起中耳腔黏膜感染,通常继发于普通感冒。
发病率在儿童中为4%左右,发生的高峰期年龄是1~2岁,而且如果不进行规范化的处理,可能导致会患儿听力下降,严重的还可能引起颅内外并发症。
急性中耳炎主要是采用抗菌药物进行治疗,在国内《儿童急性中耳炎诊疗——临床实践指南》中规定对于<2岁和临床症状严重的患者,应该进行抗菌治疗10天。那么如果治疗5天是什么样的呢?国外有专家专门进行了研究。
一
急性中耳炎治疗:5天 OR 10天?
众所周知,3岁以下急性中耳炎患儿要要使用抗生素进行治疗,为了减少年幼儿童抗生素的使用,是否可以减少抗生素治疗的时间?在一项6~23个月年幼儿童试验研究中,Hoberman及其同事研究了使用5天抗生素治疗以及10天治疗效果的差异。
这些儿童是在2012~2015年Pittsburgh 儿童医院中进行招募,所有被招募的儿童急性中耳炎发病不超过48小时,症状都已达到研究者所设定的客观阈值(通过查看积液、鼓胀和使用疼痛评分工具),父母要记录孩子的哭泣、肿胀、耳朵牵引感、发热和其他表现,患儿要服用阿莫西林-克拉维酸(90mg/kg/day),其中一组要连续服用10天(标准时间),而另一组则先进行5天的药物治疗,其余5天采用安慰剂进行治疗。
调查人员在第一周会联系家长来确保药物的依从性,并取得病情症状报道,儿童在治疗结束时要进行完整的临床检测,通常在12~14天,父母会每天记录病情症状。每6周会通过一次评估,直至结束。
急性中耳炎治疗的结果要么成功要么失败,研究人员会通过耳窥镜进行检查,治疗失败则意味着孩子会出现病情恶化或症状没有完全消失,而急性中耳炎复发是指在最初诊断16后症状突然出现,该试验是基于非劣性试验研究。
在招募的儿童中,1岁以下的婴幼儿占51%,有58%的儿童每周接触2个或更多的儿童至少10个小时,由于发烧和疼痛,大约55%的儿童被考虑为严重的疾病,大约49%的儿童有双侧中耳炎。
研究结果显示,经过5天治疗的儿童失败率为34%,10天治疗的儿童失败率为16%。由于治疗5天的失败率太高,该试验被提前终止,在该试验被停止时,有520名儿童进入到随机分组程序。
亚型分析结果显示,10天的治疗效果确实要比5天的治疗效果好,但每周接触2~3个儿童至少10个小时和双侧急性中耳炎的失败率更高(1.7和2.9)。其中接受5天治疗的儿童在第二周(6~14天)的症状评分依然很高。
但令人惊奇的是,在第2周进行评估时,腹泻的发生频率、尿布疹、和耳积液在两组却没有统计学的差异。
二
评论观点
有得必有失,研究者依然在继续评估对儿童感染治疗方式的选择。抗菌药物管理是非常重要的事情,目前,医学界越来越多的采取抗菌药物管理,但数据表明,急性中耳炎儿童并不能通过采取减少治疗时间来减少抗菌药的使用。
虽然不能通过减少治疗时间来减少抗菌药的使用,但是临床医生可以通过更准确的诊断儿童中耳炎来减少抗菌药物的使用,但该研究提示我们,在进行2周的抗菌药物治疗后,很多儿童依然会有积液,还有一点,短期的阿莫西林-克拉维酸治疗对胃肠紊乱并没有保护作用。
三
来自其他医生的质疑
但有医生质疑,由于治疗急性中耳炎的首选药物是阿莫西林,而并不是阿莫西林-克拉维酸钾,抗菌药管理应该是尽可能减少抗菌药物的抗菌谱,但令人遗憾的是,这项研究没有采用推荐的药物进行治疗。
治疗儿童青光眼的6类药/上海药讯,2017,7,29
药物治疗通常用于儿童青光眼术前暂时降眼压或者手术治疗获得部分成功后的辅助治疗。由于儿童自身的特殊性,如药物对生长发育的影响;儿童血容量少,体重小,全身吸收的药物量会相对较多,且代谢系统并未成熟,药物进入体内消除半衰期较长,所以使用药物后发生的全身不良反应的概率比成人高等都应在药物治疗时充分考虑。
目前可用于治疗儿童青光眼的药物有β-受体阻滞剂,碳酸酐酶抑制剂,前列腺素类似物,拟副交感神经药,α2-肾上腺素能激动剂和各种复合制剂等。
一
β-受体阻滞剂
包括噻吗洛尔(非选择性β受体阻滞剂)、倍他洛尔(选择性β1受体阻滞剂)等,在儿童青光眼患者中常作为的一线治疗药物。该类药物可引起减慢心率、支气管痉挛甚至呼吸暂停等严重全身不良反应,所以在应用此类药物时,应详细询问患儿有无严重的心肺疾患病史。
二
碳酸酐酶抑制剂
常作为儿童青光眼患者的一线或二线治疗药物,属于磺胺类药物,包括局部用药布林佐胺和口服制剂醋甲唑胺,用药前需询问患儿是否有磺胺类药物的过敏史。
三
前列腺素类
如拉坦前列素,曲伏前列素和贝美前列素。一天一次给药,患儿耐受性好,全身不良反应少,是儿童青光眼患者可选用的药物之一。
四
拟副交感神经药
如毛果芸香碱,一般不作为儿童青光眼的常规治疗使用,只适用于房角手术后(小梁切开或房角切开术)的补充用药。
五
α2-肾上腺素能激动剂
溴莫尼定对婴幼儿及儿童具有较为严重的全身不良反应,包括嗜睡、共济失调、过敏、血压过低、心动过缓、呼吸抑制等,故建议低龄儿童(7岁以下)慎用。安普尼定全身不良反应少,可用于青光眼术后的婴幼儿短期局部用药。
六
复合制剂
单药无法控制眼压时,可选用复合制剂一方面减少用药频次,另外还可减少防腐剂的接触量。目前有前列腺素类与噻吗洛尔的复合制剂,多佐胺与噻吗洛尔的复合制剂等。
此外,鉴于儿童自身的特殊性,我们还可采取一些措施以减少抗青光眼药物通过鼻粘膜的全身吸收,如在保证疗效的前提下,尽量选用低浓度药物,或减少用药频次;选用全身吸收少的眼用凝胶制剂;使用时压迫内囊,减少鼻泪管吸收等。
2岁患儿输液后死亡,这对用药组合已成致命搭档/药评中心,2017,7,29
头孢菌素与地塞米松,这一对用药组合已成为某些医生,尤其是基层某些医生的一种标配。调查发现,在治疗支气管炎的门诊处方中,使用头孢菌素的同时常常联用地塞米松!其目的,可能是防止过敏,也可能是快速降温,还可能是抗炎等。
一、头孢菌素与地塞米松,成为一对致命搭档
2017年7月12日,男孩,2岁,因发烧、咳嗽到某社区卫生服务中心就诊。医生诊断为支气管炎,并开具处方:头孢他啶、地塞米松及葡萄糖,静脉滴注。滴注2分钟时,男童出现紫绀、烦躁不安症状,最后抢救无效身亡。
2016年3月17日,男童,2岁,因咳嗽、发烧,一次性肌肉注射头孢硫脒、地塞米松。注射后,患儿出现呕吐、呼吸微弱及昏迷等休克症状,经抢救无效死亡。后经专业鉴定,患儿系肌肉注射头孢硫脒致过敏性休克死亡。
因输液致死的类似案例还有很多很多。用药合不合理,我不妄加评论。但是,当看到图片中母亲呆滞无助的眼睛,我只想说一句话:输液!输液!请不要用孩子的生命做赌注!
二、地塞米松,不能预防头孢菌素过敏
据统计,头孢菌素类抗生素所引起的过敏性休克,多数在用药后5分钟内发生,其中在用药后30分钟内发生的过敏性休克,占80%以上。
地塞米松起效缓慢,既不是治疗严重过敏反应的一线治疗药物,也尚未充分证实其能否降低迟发反应的危险,更不能用于预防头孢菌素过敏。
案例:患者,女,40岁。有青霉素过敏史。因膝骨性关节炎行人工关节置换术。入手术室时,为预防过敏反应,静注地塞米松10mg;手术开始前30min予头孢哌酮钠舒巴坦钠3g缓慢静滴。静滴约0.3g时,患者胸壁出现密集分布的红色斑丘疹及风团,血压BP61/38mmHg,最后确认系头孢哌酮钠舒巴坦钠所致过敏性休克。
三、地塞米松,也可引起过敏性休克
通过对国内157例地塞米松致过敏反应的统计分析发现,157例患者的用药原因中,最多的为抗过敏或预防造影剂或输血导致的过敏,占44.59%;其次为治疗哮喘、支气管炎等所致,占22.93%;其中,静脉或肌肉途径给药所致过敏反应高达150例,占95.54%。
案例:患者女,52岁。因B超定位输尿管结石不明确,行静脉肾盂造影。造影准备前静推地塞米松磷酸钠5mg。1分钟后出现心慌,嘴唇麻木,2分钟后患者出现呼吸困难,口唇紫绀,3分钟后患者无自主呼吸,呼之不应,心率为0,呼吸为0。最后因过敏性休克抢救无效死亡。
四、莫把激素当做退热剂来使用
发热是临床多种疾病的一个症状,往往与病毒、细菌、原虫、霉菌等感染有关。对待发热,首先应弄清原因,由细菌感染引起的可使用抗菌药物。普通感冒或急性支气管炎,多由病毒引起,一般不需要使用抗菌药物,只需口服解热镇痛药等对症治疗。
激素虽能抑制内源性致热原的释放和直接作用于下丘脑体温中枢使体温下降或防治体温升高,但由于激素既能抑制体液免疫,又能抑制巨噬细胞与白细胞,从而有利于微生物的生长繁殖,使感染扩散,甚至激发霉菌或二重感染。
案例:患儿,男4岁,主因发热,口腔溃疡就诊。医生给予强的松10mL口服,每日3次,3天后该患儿出现全身广泛性、弥漫性、出血性水痘,伴发感染。住院治疗多日,增加了患儿痛苦及家长负担。
总之,预防头孢菌素类抗生素过敏反应的重点是,用药前详细询问患者的疾病史、过敏史、家族史等,而不是同时使用地塞米松来预防;而且无论头孢菌素皮试阴性还是阳性,用药前都要准备好抢救设备和药物。
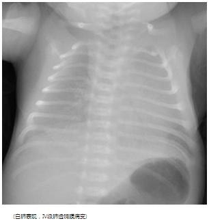
新生儿肺透明膜病的诊治/医学界儿科频道,2017,7,29
对于每一个新生儿科医生来说,早产儿,再常见不过的,莫过于“新生儿肺透明膜病”,对于该病的诊治,已经有相当成熟的诊疗指南规范,本文根据一则临床病例,简要总结相关知识点,跟大家一起复习一番!
病例:
患儿小K,男,因“胎龄35+2周早产,生后呻吟30分钟”在2016-09-01 06:07由我院产科转入。
患儿是G1P1,胎龄35+2周,因其母“阴道流血伴下腹痛半天,早产难免”在2016-09-01 05:37在我院产科经阴道分娩出生,羊水清,脐带无绕颈,胎盘胎膜娩出完整,出生体重2.6 kg,阿氏评分1分钟8分(肌张力、肤色扣1分),予清理呼吸道,刺激足底后,肤色转红润,5分钟10分,患儿开始出现呻吟,气促,无发绀,考虑早产儿,未排除新生儿肺透明膜病,低流量吸氧下转我科治疗,转运途中无发绀,时有呻吟。自出生以来,患儿无肢体抖动,无进食,大小便未排,未行预防接种,未行新生儿筛查。
新生儿肺透明膜病定义:
新生儿呼吸窘迫综合征(RDS)为肺表面活性物质(PS)缺乏,从而导致的呼吸困难等症状,多见于早产儿,主要发生于胎龄<34-35周的早产儿,由于肺部发育不成熟,肺泡II型上皮细胞合成和分泌PS缺乏,生后数小时出现进行性呼吸困难、发绀和呼吸衰竭,病理上出现肺透明膜,称之为肺透明膜病(HMD)。
病因和机制:
1959年Avery 和Mead首次发现新生儿RDS为PS缺乏所致,和肺合成分泌PS量不足有关。
1、早产儿:胎龄24-25周肺部开始合成磷脂和活性PS-B,以后PS合成量逐渐增多,直到35周左右PS量才迅速增多,因此,胎龄<35周的早产儿极易发生RDS。
2、糖尿病母儿:糖尿病母亲的胎儿,在母体体内时,血糖高,胰岛素分泌增加,胰岛素可以抑制糖皮质激素,从而减少PS的合成和分泌,因此糖尿病母儿,即使是足月儿或巨大儿,仍有可能出现RDS。
3、剖宫产婴儿:剖宫产的新生儿,没有经历分娩发动,没有经历正常宫缩,儿茶酚胺和肾上腺皮质激素应激反应较弱,PS合成分泌减少;
4、围产期窒息:缺氧、酸中毒、低灌注等都可以导致急性肺损伤,抑制肺II型上皮细胞产生PS;
5、重度Rh溶血病、SP-A基因变异、SP-B基因缺陷等。
PS缺乏时,肺泡壁表面张力增高,肺泡逐渐萎缩,发生肺不张,发生缺氧、酸中毒,肺小动脉痉挛、肺动脉高压,导致动脉导管和卵圆孔开放,右向左分流,缺氧加重,肺毛细血管通透性增高,血浆纤维蛋白渗出,形成肺透明膜病。
临床表现:
多见于早产儿,生后6小时内出现进行性呼吸困难,表现为呼吸急促(>60次/分),呻吟,三凹征阳性,发绀,呼吸暂停等,需马上使用肺表面活性物质,呼吸支持(CPAP或机械辅助通气)。
典型胸片结果:


治疗:
1、肺表面活性物质治疗:
1980年日本Fujiwara首次应用外源性PS治疗RDS获得成功,此后国际上经过数十年的临床应用,PS对RDS的疗效得到普遍公认和充分肯定,已经成为RDS常规治疗手段。
(1)治疗时机:一旦出现呼吸困难、呻吟,临床诊断后即可给药,不需要等X片的典型RDS结果;
(2)剂量:每种PS商品各有其推荐剂量,各不相同,一般每次100-200 mg/kg;
(3)给药次数:早年报道给药1次,但部分患儿疗效不明显,现在主张按需给药,如患儿用药后6-8小时复查胸片,仍有典型肺透明膜病的X片表现,可考虑第二次给药,第二次剂量约为100 mg/kg,必要时第三次用药,一般常规总量不超过400 mg/kg;
2、通气支持:
(1)轻度RDS患儿:早期应用CPAP(压力3-5 mmH2O)可以减少机械辅助通气的应用,如果应用CPAP后仍反复呼吸暂停等情况,则需要考虑应用气管插管、呼吸机辅助通气。
(2)机械通气:一般首选IPPV和PEEP辅助通气,R35-45次/分,PIP20-25 mmH2O,PEEP4-5 mmH2O,也可选择高频通气。
3、支持治疗:
RDS患儿,因为缺氧、高碳酸血症,导致酸碱电解质失衡,需要及时纠正,补液量不宜太多,避免加重肺水肿,生后1-2天控制在60-80 ml/kg,第3-5天控制在80-100 ml/kg,血压低可用多巴胺5-10 μg/kg.min。
预防:
1、出生前预防:
给可能早产的孕妇静脉或肌注倍他米松或地塞米松5-10 mg,qd*3天。应在分娩前24小时到7天给药。
2、产后预防:
早产儿生后,如果胎龄≤30-32周,出生体重<1200 g,可以考虑使用PS预防,如联合产前预防,则效果更佳。
担心孩子长不高?这样来预测儿童身高/医学界儿科频道,2017,7,22
身高是衡量儿童生长发育是否正常最直接、最客观的指标之一,受遗传、营养、睡眠、疾病、精神和社会环境等多种因素的影响。如何预测儿童身高,成为儿科医生及家长都十分关注的问题。
家长们普遍关注如下几个问题:我的孩子身高是否正常?父母的身高对孩子的身高会产生怎样的影响?如何根据父母的身高来预测孩子的成年终身高?我家孩子是不是“晚长”?
要回答上述问题,首先要区分三个“年龄”的概念,即生活年龄(Chronological Age,CA)、身高年龄(Hight Age,HA)、骨龄(Bone Age,BA)。
一、生活年龄
生活年龄(Chronological Age,CA):也叫日历年龄,是由出生年月日决定的,即每365天增加一岁。生活年龄好理解,就是我们平常根据出生年月日推算所说的“实岁”。
二、身高年龄
身高年龄(Hight Age,HA):是指一定身高的在正常人群平均身高对应的生活年龄。身高年龄指的是儿童目前身高对应的该人群平均身高的年龄,比方说一个生活年龄为8岁的女孩,目前身高122 cm,而正常人群平均8岁女孩身高应该是在127.5 cm,而122 cm的身高仅仅相当于7岁女童的人群平均身高,那么我们就说她尽管生活年龄是8岁,但身高年龄只有7岁。
三、骨骼
骨龄(Bone Age,BA):骨龄是骨骼年龄的简称,又称生物学年龄,是表示人的生长发育、成熟、衰老程度的标志,是儿童生长发育的基本指标,是指儿童青少年骨骼发育水平同骨骼发育标准比较而求得的发育年龄。骨龄代表儿童的生长潜能,根据骨龄及现有身高可以准确成年身高,是目前预测身高最准确的方法。骨龄是拍摄儿童左手腕部正位X片,然后根据不同的骨化中心出现和融合顺序,与标准骨龄图谱通过比较对照而得出的骨骼年龄。骨龄解读一般由小儿内分泌、儿保专科医生或影像科医生完成。
骨化中心出现比实际年龄早,说明孩子的生长潜力较小;骨化中心出现比实际年龄晚,说明孩子生长潜力大。
所以,建议家长不要盲目使用所谓“增高药”来拔苗助长,最好能听取专科医生的建议。
四、生活年龄、身高年龄和骨龄之间的关系
我们举个例子就能把上述三个“年龄”之间的关系说清楚:还是举上面那个例子,一个生活年龄为8岁的女孩,目前身高122 cm。正常人群平均8岁女孩身高应该是在127.5 cm,而122 cm的身高仅仅相当于7岁女童的人群平均身高,故该患儿身高年龄是7岁。如果骨龄摄片显示该女孩骨龄已经有9岁了,即骨龄超前,而9岁骨龄女孩的人群平均身高是133 cm,122 cm落后于对应骨龄的两个标准差(-2SD),鉴于骨龄是预测成年终身高最准确的方法,那么我们预测这个女孩的成年终身高将会很矮(-2SD,在149 cm左右)。相反,如果同样是这个女孩,骨龄只有7岁,也就是与身高年龄一致,落后于生活年龄1岁,那么我们就认为她骨龄是落后的,身高依然有比较好的生长潜能(如果按照这种趋势可能恰好达到人群平均身高160 cm),成年终身高不一定落后,需要随访进一步评估。
五、生理条件下三个“年龄”之间的关系
正常生长发育的儿童的上述三种“年龄”是相互对应的,但由于每一个人在生长发育过程中,受遗传、内分泌(如生长激素、甲状腺激素、性激素等)、营养、体育锻炼、疾病等等因素的影响,发育的速度并不一定和生活年龄以及身高年龄完全一致。
有的人发育提前,骨龄会大于生活年龄。也有的人骨龄小于生活年龄。发育速度有时是不均匀的,一个人在某段时间发育落后,过了一段时间,也可能因为发育速度加快,而又正常了,我们在门诊遇到发育落后的小孩,经常会问小孩的父母是否出现这种情况。所以,在青少年儿童的生长发育阶段,评定他们的发育程度,对于促进青少年儿童的健康成长,具有重要的意义。
骨龄-生活年龄的差值在±1岁以内的称为发育正常。全国2万多人的调查,平均差值为0.13岁。骨龄-生活年龄的差值>1岁的称为发育提前或骨龄超前。骨龄-生活年龄的差值<1岁的称为发育落后或骨龄落后。
六、病理条件下三个“年龄”之间的关系
在儿童生长迟缓的病因筛查中,我们经常遇到几种情况:
如果身高年龄明显落后于生活年龄和骨龄,且骨龄和生活年龄相当的话,我们称之为内因性矮小(HA < BA ≈ CA);
如果身高年龄和骨龄相当且二者均小于生活年龄,则为延迟性生长(HA ≈ BA < CA),若二者远远小于生活年龄则应该考虑是衰减性生长(HA ≈ BA << CA);
如果身高年龄和骨龄均大于生活年龄,则考虑性早熟(HA > CA < BA)。
七、我的孩子目前身高是否正常?
父母可以对自己孩子的身高是否正常进行初步的判断,标准是根据2009年发表在中华儿科杂志的《中国2-18岁男/女童身高、体重标准差单位曲线图》,该曲线图是根据2005年中国九省市儿童体格发育调查数据研究制定的,是目前儿科内分泌和儿保科广泛使用的身高/体重对照图:


横坐标代表年龄,纵坐标代表身高,身高共有7条对照曲线,其中“0”标记的曲线代表正常人群平均身高曲线,“+1”代表超过正常人群身高1个标准差,“-1”代表落后正常人群一个标准差,其他以此类推。比方说,一个生活年龄为8岁的女孩,如果身高为127.5 cm,那么我们认为她的身高达到了人群平均身高,如果身高为117 cm,我们认为她的身高落后正常身高2个标准差(-2SD),如果身高为139 cm则认为她身高超过正常2个标准差(+2SD)。无论是落后还是超前,都需要找专科医生咨询。因为这只是评估生活年龄与身高年龄关系,没有涉及骨龄,骨龄超前或落后才是判断生长潜能的标准。如果是生活年龄和人群平均身高对应或者在±1SD,且与骨龄相对应,那么这种情况就是正常的。
仅仅知道目前孩子的身高是否正常是不够的,更为重要的是评估儿童的生长速度、身材比例等因素。那么,我家孩子生长速度正常吗?我家孩子身材比例正常吗?如何根据父母身高情况预测孩子的成年终身高?我家孩子会不会是“晚长”?
母婴安全行动计划启动 孕产妇按风险程度分级/新华社,2017,8,4
国家卫生计生委日前印发《关于加强母婴安全保障工作的通知》,启动母婴安全行动计划,要求二级以上医院对孕产妇进行妊娠风险评估分级,按照风险程度以“绿、黄、橙、红、紫”5种颜色进行分级标识,强化安全保护,从源头防范风险。
国家卫生计生委妇幼健康服务司相关负责人介绍,全面两孩政策实施后,在出生人口持续增长的形势下,2017年上半年全国母婴安全形势总体较为平稳,孕产妇死亡率控制在15.8/10万,大部分省份孕产妇死亡率较去年同期有所下降。但当前和未来一个时期,出生人口持续保持高位,高龄高危孕产妇增加,优质资源分布不均匀,部分地区母婴安全形势不容乐观。
通知指出,加强母婴安全保障工作要抓住4项重点:从源头严防风险,全面开展妊娠风险筛查与评估;紧盯重点人群,严格进行高危专案管理;严守安全底线,着力加强危急重症救治;建立督查机制,强化母婴安全责任落实。坚持预防为主、防治结合的原则,借鉴传染病防控的成功经验,全力维护每位孕产妇和新生儿的生命健康。
强化二级以上医疗机构妊娠风险评估责任。通知要求,二级以上医疗机构要对妊娠风险筛查为阳性的孕产妇进行妊娠风险评估分级,按照风险严重程度分别以“绿(低风险)、黄(一般风险)、橙(较高风险)、红(高风险)、紫(传染病)”5种颜色进行分级标识,加强分类管理。对于妊娠风险分级为“黄色”“橙色”“红色”和“紫色”的孕产妇,建议其在二级以上医疗机构接受孕产期保健服务和住院分娩。严格落实高危孕产妇专案管理措施,确保做到“发现一例、登记一例、报告一例、管理一例、救治一例”。
完善危重救治网络。通知明确,要确保到2017年年底,省级要有若干个危重孕产妇和新生儿救治中心,市、县两级均有至少1家危重孕产妇救治中心和1家危重新生儿救治中心。到2018年年底前,全面建成分级负责、上下联动、应对有序、运转高效的危重孕产妇和新生儿急救、会诊、转诊网络。各地要强化母婴安全保障措施,全面开展妊娠风险筛查与评估;紧盯重点人群,严格落实高危专案管理;死守安全底线,着力加强危急重症救治。省级建立工作台账,每个月定期调度工作进展。
香港流感造成315人死亡,人数或超SARS/都市快报,2017,8,7
香港于5月中进入了夏季流感期,而流感活跃程度在近周维持在高水平,整体死亡人数已追上香港2003年SARS爆发时水平。香港卫生署公布,由5月5日截至8月2日,入住公立医院、经化验确诊为流感的人数共14713人,共450宗严重流感个案,死亡人数307人,死亡比率为2.1%。(截止至8月3日,与流感相关的严重个案总数达458宗,共造成315人死亡。)
在450宗严重流感个案中,录得19宗儿童(年龄小于18岁)流感相关的严重并发症个案,包括3宗死亡个案。
相关卫生署防护中心发言人在近日表示,“香港季节性流感活跃程度维持在高水平,预期未来数星期仍然活跃。”
据香港卫生署7月中公布的数据,流感爆发个案主要集中于养老院,占比为52%,其次是幼稚园及幼儿中心,占比为22.8%。
据香港卫生署出版的网上周刊《传染病直击》报道,今年的香港夏季流感爆发时间由往年的7到9月提前至5月,截至7月15日的过去一周,流感的阳性检测率达到最高峰40.86%,超过了自2015年冬季38.71%的最高值。
香港大学李嘉诚医学院微生物学系名誉助理教授龙振邦及香港大学李嘉诚医学院霍英东基金(传染病学)教授袁国勇曾分析此次病毒高峰期的形成原因:“2016/17年H3N2甲型流感有一个小的抗原变异(N121K),此变异有可能使过去两年所用的流感疫苗失效。香港的H3N2甲型流感毒株也出现了N121K变异(编者注:毒株变异为抗原表位发生突变),从2016年7月到2017年3月,约20%的H3N2毒株出现N121K变异,而2017年5月,多于35%的H3N2毒株出现N121K变异。此变异可能为今夏流感高峰的一个原因。”此外,他们表示也与不同人群抵抗力下降、环境及卫生习惯有关。
季节性流行性感冒是由流感病毒引致的急性呼吸道疾病。在香港,流感一般于1至3月和7、8月较为流行。上一次的流感高峰发生于2014年尾至2015年初。
值得注意的是,流感大流行在过去每隔约10 – 50年出现一次。而大流行的时间无法预测。流感大流行通常伴随较多感染个案及较严重的病情,引致较高死亡率,对社会经济造成极大影响。
香港在2003年2月至6月期间曾爆发严重急性呼吸系统综合症SARS(Severe Acute Respiratory Syndrome,非典型肺炎),据财新记者向卫生署查询,SARS期间香港共确认1755人染病,299人死亡。SARS的死亡率高达17%,是香港近些年最严重的疫情。
近期香港主要流行的病毒为甲型H3N2流感。已知的流感病毒有三种类型:甲型、乙型和丙型。甲型流感病毒可依据病毒表面的血凝素(haemagglutinin,即H)及神经胺酸酶(neuraminidase,即N)两种抗原类型,再细分为不同亚型。患者多表现出普通流行性感冒的症状,有时会出现腹泻和呕吐,重者会继发肺炎和呼吸衰竭,甚至死亡。流感病毒主要透过由患者咳嗽、打喷嚏或说话时产生的飞沫传播,亦可透过直接接触患者的分泌物而传播。
值得庆幸的是,流感活跃程度在过去一星期略有下降。据香港卫生署统计,在7月23日至29日的一周内,香港定点普通科诊所呈报的流感样病例平均宗数为10宗(每千个诊症计算),低于前一周的12.2宗。定点私家医生呈报的流感样病例平均宗数为72.4宗(每千个诊症计算),低于前一周的76.4宗。
另据中新网报道,香港特区卫生署政府卫生防护中心日前调查一名六个月大女婴感染严重甲型流感的个案,女婴临床被诊断为脑病变及心肌炎,留医联合医院,现时情况稳定。在卫生防护中心收集的呼吸道样本中,检出对季节性流感病毒阳性比率连续两周下降,流感高峰或有回落的迹象。调查显示,该名六个月大的女婴过往健康良好,自上月30日起出现发烧、咳嗽、腹泻及抽搐等病征,第二天被送往联合医院急症室,并转送儿科深切治疗部进一步治疗。初步调查显示女婴未有接种季节性流感疫苗,潜伏期间并无外游。她的母亲及四岁姐姐最近亦曾出现上呼吸道感染病症,并已求医,情况稳定。
香港卫生署表示,在2017/18流感季节,会继续为6个月至未满12岁儿童,65岁或以上长者,孕妇,智障人士及领取伤残津贴人士提供资助接种流感疫苗。
近期流感令香港公立医院急缺人手、应接不暇,香港政府呼吁私家医生到公立医院兼职协助,截至7月28日,至少有24名私家医生表示愿意在夏季流感高峰期下前往公立医院兼职,纾缓人手短缺问题。
中国医院格局将迎来重新洗牌?/看医界,2017,08,7
中国医院格局将迎来重新洗牌?近日,北京市卫计委党委书记方来英接受《新京报》采访时表示,未来医院会有一次重新洗牌的过程。那么中国医院格局正在、以及将会发生哪些巨大变化呢?《看医界》为您带来独家盘点。
大医院将被逼回医学中心角色
众所周知,中国的大型公立医院啥都干,从感冒、小手术,到危急重症无所不能。
但三级医院究竟应该干啥呢?其实本来的定位很清楚,就是危急重症、科研教学等。
但现实将大医院逼上了梁山,甚至饥不择食,床位越来越大,手术级别越做越低,甚至被誉为大型乡镇卫生院,将基层医疗人才和病源虹吸殆尽。
那么,在分级诊疗改革的推动下,大型公立医院将走向何方呢?
方来英坦言,现在三级医院太多,二级医院不够。我们的医疗体系应该是基层(一级医院)、临床医疗(二级医院)、医学中心(三级医院),这样一个倒金字塔型的结构。
可见,将有一大批三级医院回归医、教、研、防一体化的医学中心定位。但既然三级医院过剩,一些所谓的三级医院,在科研教学、危急重症方面并无特长,可能会被逐出医学中心的队伍,回归纯粹的临床医疗本质。其实就是要被降级了!
大批城市二级医院面临改制或转型!
哪些二级医院面临生存危机呢?实际上讲的是地级及以上城市的一些夹心层二级医院。
以福建三明市为例,据《看医界》了解,三明市第X医院作为一家二级医院可谓惨到家,要钱没钱,要患者没患者,医生收入和县级医院相差甚远。患者要么直接去了像三明市第一医院这样的三甲医院,要么去政府大力扶持的县医院,谁会去这样的夹心层医院?
更夸张的是,根据三明医改精神,取消了挂号费,改收诊查费,直接提到了主任医师48元,副主任医师38元,主治医生28元,住院医师18元的水平,一位三明市第X医院的副主任医师就抱怨,诊查费提这么高,同是副主任医师收费仅比三明市第一医院少一两块钱,患者更不来了!
这样的情况仅仅三明独有吗?随着药品零加成改革的推进,全国将掀起取消挂号费提高诊金等技术劳务性收费,届时大中城市二级医院的诊金将大幅提高至大医院统一水平,患者还会来吗?
还有当然就是药品下沉。用北京市原医改办主任韩晓芳的话说,给基层配足了药,大医院门诊可以直接少近三分之一。随着分级诊疗的推进,基层用药情况将得到大幅改善,届时慢性病患者在三级医院诊断治疗后,在社区就可以了,谁还会去夹在中间的二级医院?
上海市区一位二级医院院长就曾对该院内科主任表示,现在应该有危机感了,很可能二级医院不再需要这么多内科医生了。
上海市某二甲医院一位院长在接受腾讯财经采访时更是直言,现在只能熬着,称分级诊疗会把二级医疗机构推向死路。
像三明X院这样的医院未来的出路在哪里?目前不少这样的夹心层医院,正在迎来改制潮。
以贵阳六院为例,就是一家政府办二甲公立医院,在贵阳这样的大城市,可以说没什么发展前景可言,在没有被卖给上市公司朗玛信息前,已经是连续六年亏损,每年亏500万!怎么办?卖掉!交给社会资本,注入资金对医院软硬件进行升级改造。
很快,补充了“弹药”的贵阳六院就闹出了整科室挖三甲医院医生、患者的事件。可见,体制机制一改变,“病猫”秒变老虎。
然而,并不是所有的地方领导都舍得将自己的“亲儿子 ”卖掉,但又没有钱投入,那怎么办呢?还有一种办法就是转型。
据《看医界》获悉,从国家到地方政府,事实上近年来一直在鼓励城市二级医院转型做康复养老,但由于康复在现有医疗服务价格体系下不赚钱,不到刀架到脖子上,院长们很难下决心。
不过一些识时务的二级医院已经动起来寻求出路了。以上海市杨浦区老年医院为例,以前是一家综合性二级医院,后因经营苦难,寻求转型康复医院,如今已经成功更名为上海市第一康复医院。其康复特色在康复资源稀缺的上海越来越抢手。
另据方来英透露,2016年北京市就有6家二级医院转向了康复医院。可见不管是主动还是被动,大中城市一批二级医院转型康复医院已经是大势所趋。
社会办医将夺回医疗市场半壁江山!
众所周知,中国社会办医院总数量已经在2015年超过了公立医院,但也都知道中国医疗市场的份额90%左右还在公立医院手中,无论是床位数还是诊疗人次,还是医生数量,公立医院还处于绝对垄断的地位。
但这一格局未来会被打破吗?对此业内人士表示,社会办医院占据中国医疗市场半壁江山是迟早的事,而且正在加速到来。
因为首先在经济新常态下,医疗健康产业已经被寄予国民经济重要支柱产业,正在被重点扶持,大批资本在政策持续的鼓励下纷纷进入医疗领域。
其次,在国家解放医生、鼓励医生兼职创业的背景下,医生多点执业、自由执业,甚至医生办医潮正在涌来!
据《看医界》从连续两届的“中国医生集团实战训练营”上获悉,很多三级医院科主任级别的医生,正在合伙创办医生集团,并积极筹备建设医院、连锁诊所等。
再加上一些主委级医生的带头示范效应,现在医疗界大医生越来越多地开始心动,并正在付诸行动。
当医生们的积极性被调动起来,大批医生集团及医生办的医院或将席卷医疗界,其势能非传统社会办医力量所能比。别说对莆田系,对于大量公立医院都将造成不小的冲击!
对此,上述业内人士直言,中国医改的主力军——医生,将在社会资本的助力下,将中国现有医疗市场格局颠覆。
中国有望成为世界第一,这次是因为器官移植/医学论坛网,2017,8,7
在5日举办的2017年全国人体器官捐献与移植工作会议上,中国人体器官捐献与移植委员会主任委员黄洁夫表示,随着中国器官捐献、移植事业的发展,到2020年,中国有望成为世界器官移植第一大国。
据了解,目前,中国公民去世后自愿捐献器官数量已经跃居亚洲第一,每百万人口的实际器官捐献率由2010年的0.03上升到2016年的2.98。
黄洁夫称,我们现有器官捐献协调员1900多人,计划在近期增加到5000名。现有器官移植医院是173家,希望今年增加到200家,到2020年,增加到300家。
据悉,截至目前,中国人体器官捐献志愿登记人数近30万人,完成器官捐献案例已累计超过1.2万例,捐献大器官超过3.45万个。其中,有5名外籍人士在中国逝世后捐献器官。
据悉,我国的器官移植费用远低于西方国家,平均费用仅为美国的1/22至1/5。以心脏移植为例,我国平均费用约32万,美国平均费用折合人民币约680万元。
器官捐献,面临的几大难题,首先是对高超医学技术的要求,其次是与人类伦理道德存在的冲突。在大多数文化中,人们出于对逝者的尊重,都将毁坏遗体视为一项罪恶。而除却技术的牵绊、伦理的困惑,最难之处当事如何面对用金钱买卖、以利益衡量的健康。
黄洁夫教授说,器官捐献说一千道一万,最后汇总到两个字——信任。就是老百姓对器官捐献体系的信任、捐献者对红会、对器官获取组织OPO(Organ Procurement Organization)的信任、移植者对医院的信任。
哪些器官可以移植
目前,人体的一些大的器官基本上都可以进行移植。包括心脏、肺、肝、肾脏、胰、小肠、皮肤等,角膜和血管等组织的移植也已经非常成熟。
暂时不能移植的器官:大脑、小脑、脊髓等,目前还没有成功移植的报道。
除了这些大家比较熟悉的器官外,像角膜、血管等人体组织都能进行移植。需要注意的是,它们并不属于人体器官,这在我国《人体器官移植条例》第二条进行了明确规定。
器官移植的发展对整个社会和全人类倡导了一种新的现代社会的人文精神,即利他的行为和精神,这就是死后捐赠器官为他人为社会。这种爱心和奉献也给现代社会增添了新的值得肯定的高尚道德和温馨的互助互爱的社会风尚。
NEJM:动脉粥样硬化治疗的新靶点/N Engl J Med. 2017 Jul 13;377(2):111-121
不确定潜力的克隆性造血(Clonal hematopoiesis of indeterminate potential, CHIP)是一种健康人中存在的扩增体血细胞克隆,常见于老年人,会增加血癌的风险。以前的初步证据发现CHIP与动脉粥样硬化性心血管病有关,但是其原因还不清楚。
2017年7月来自马萨诸塞总医院的病理学家和艾伯特实验室的研究员Siddhartha Jaiswal等在NEJM上公布了他们的研究结果。他们研究了四项病例对照研究的血液样本(其中冠心病4726例,对照3529例),采用全外显子测序检测外周血细胞中是否存在CHIP,并且评价CHIP和冠心病之间的关系。为了评价因果关系,作者还验证了CHIP相关基因Tet2的突变与人类动脉粥样硬化的关系。
两项前瞻性队列的巢式病例对照分析(nested case–control analyses)发现CHIP携带者冠心病的风险是未携带者的1.9倍(95% CI,1.4-2.7)。在两项回顾性病例对照队列中作者对早发心肌梗死进行了评价,发现CHIP个体心肌梗死的风险是非携带者的4倍(95% CI,2.4-6.7)。DNMT3A, TET2, ASXL1, 和JAK2突变都与冠心病有关。CHIP携带者合并这些突变会增加冠脉钙化(冠脉粥样硬化负荷的标志)的风险。在动物实验中,研究者把从纯合子或杂合子Tet2敲除小鼠的骨髓移植到高胆固醇倾向小鼠,结果发现被移植小鼠主动脉根部和主动脉的动脉粥样硬化病变更加明显(vs未骨髓移植的小鼠)。分析Tet2敲除小鼠的巨噬细胞发现几项促动脉粥样硬化的趋化因子和细胞因子表达升高。
最终作者认为造血细胞突变对人类动脉粥样硬化有促进作用。克隆性造血(clonal hematopoiesis)可能是一种动脉粥样硬化可修改的危险因素,这为控制动脉粥样硬化提供了一种新的途径。
中国大陆2013-2017人禽流感H7N9病毒流行病学:实验室确诊病例的流行病学研究系列/急诊界,2017,8,7
Epidemiology of Avian Influenza a H7N9 Virus in Human Beings Across Five Epidemics in Mainland China, 2013-17: An Epidemiological Study of Laboratory-Confirmed Case Series
Background
The avian influenza A H7N9 virus has caused infections in human beings in China since 2013. A large epidemic in 2016-17 prompted concerns that the epidemiology of the virus might have changed, increasing the threat of a pandemic. We aimed to describe the epidemiological characteristics, clinical severity, and time-to-event distributions of patients infected with A H7N9 in the 2016-17 epidemic compared with previous epidemics.
背景:中国自2013年发现了第一例感染。在2016-17曾出现一个大的疫情年,大家担心这种病毒的流行病学可能已经改变了,存在越来越多的大流行威胁。此研究描述人类禽流感H7N9病毒流行病学特点、临床严重程度,以及比较2016-2017年与之前感染了H7N9疫情患者流行病事件分布。
Methods
In this epidemiological study, we obtained information about all laboratory-confirmed human cases of A H7N9 virus infection reported in mainland China as of Feb 23, 2017, from an integrated electronic database managed by the China Center for Disease Control and Prevention (CDC) and provincial CDCs. Every identified human case of A H7N9 virus infection was required to be reported to China CDC within 24 h via a national surveillance system for notifiable infectious diseases. We described the epidemiological characteristics across epidemics, and estimated the risk of death, mechanical ventilation, and admission to the intensive care unit for patients admitted to hospital for routine clinical practice rather than for isolation purpose. We estimated the incubation periods, and time delays from illness onset to hospital admission, illness onset to initiation of antiviral treatment, and hospital admission to death or discharge using survival analysis techniques.
方法:在流行病学研究中,我们收集由中国疾病预防控制中心(CDC)和省疾病预防控制中心管理提供的,截至到2017年2月23日为止所有中国大陆实验室证实的人类感染H7N9病毒的病例。每例感染H7N9病毒的病人需在24小时内通过法定传染病国家监测系统上报中国疾病预防控制中心。该研究描述了H7N9病毒感染的流行病学特征,并估算了住院病人接受常规临床治疗的死亡风险、机械通气和入院ICU的风险而不是仅为隔离风险考虑。由此我们利用生存分析推算潜伏期、从发病到入院及从发病至开始抗病毒治疗的时间间隔,以及住院至死亡或出院的时间。
Findings
Between Feb 19, 2013, and Feb 23, 2017, 1220 laboratory-confirmed human infections with A H7N9 virus were reported in mainland China, with 134 cases reported in the spring of 2013, 306 in 2013-14, 219 in 2014-15, 114 in 2015-16, and 447 in 2016-17. The 2016-17 A H7N9 epidemic began earlier, spread to more districts and counties in affected provinces, and had more confirmed cases than previous epidemics. The proportion of cases in middle-aged adults increased steadily from 41% (55 of 134) to 57% (254 of 447) from the first epidemic to the 2016-17 epidemic. Proportions of cases in semi-urban and rural residents in the 2015-16 and 2016-17 epidemics (63% [72 of 114] and 61% [274 of 447], respectively) were higher than those in the first three epidemics (39% [52 of 134], 55% [169 of 306], and 56% [122 of 219], respectively). The clinical severity of individuals admitted to hospital in the 2016-17 epidemic was similar to that in the previous epidemics.
结果:2013年2月19日—2017年2月23日,在中国大陆的报道了1220例实验室确诊的人感染H7N9病毒病例,2013年春季134例, 在2013-14年306例,2014-15年219例,2015-16年114例,2016-17年447例。在2016-17年 H7N9疫情开始的更早,蔓延到更多的省份和区县,并比以往年份有更多的患病病人。中年人的患病比例从最开始流行的41%(55/134)稳步增加至2016-17年的57%(254/447)。在2015-16年和2016-17年城市郊区和农村居民的患病比例(分别63% 和61%)均高于前三个流行期(分别为39% ,55% 和56%)。在2016-17年发病的入院临床严重程度与以往年份相似。
Interpretation
Age distribution and case sources have changed gradually across epidemics since 2013, while clinical severity has not changed substantially. Continued vigilance and sustained intensive control efforts are needed to minimise the risk of human infection with A H7N9 virus.
解释:自2013以来,H7N9的流行年龄分布和流行特点逐渐改变,而临床严重程度没有发生实质性变化。需要继续警惕和持续加强控制工作,以尽量减少人感染H7N9病毒的风险。
J Transl Med:口腔扁平苔藓患者HCMV编码miRNA表达模式明显不同/MedSci梅斯,2017,8,8
口腔扁平苔藓(OLP)是T细胞介导的免疫性疾病。口腔扁平苔藓的病因及分子机制目前仍不清楚。人巨细胞病毒(HCMV)感染是多种疾病发展的一个因素,但是HCMV在 OLP的临床相关性上目前还并不了解。
研究共纳入了21名OLP患者和18名健康对照者,收集器血浆样本,使用RT-qPCR 检查了23个HCMV编码的microRNA(miRNA)。随后在包括40例OLP患者和33名健康对照者的更大队列中验证了表达差异的miRNAs。同时在包含13名OLP患者和12名对照者的队列中测量其外周血白细胞(PBL)中的HCMV DNA。此外,研究人员还使用生物信息学分析、荧光素酶报告分析和免疫印迹等方法预测并验证HCMV编码miRNAs的直接靶点。
RT-qPCR结果显示,几组队列中OLP患者血浆中五种HCMV编码miRNAs的水平均显著高于对照者,包括hcmv-mir-ul112-3p,hcmv-mir-ul22a-5p,hcmv-mir-ul148d,hcmv-mir-ul36-5p和hcmv-mir-ul59。PBLs中HCMV DNA同样也是OLP患者。
英国科学家发现抗生素耐药性与三氯生抗性之间的联系机理/科技部,2017,8,7
英国伯明翰大学和诺维奇科学园(Norwich Science Park)的科学家们发现了抗生素耐药性和耐消毒三氯生(triclosan)之间的联系机理。此项研究由伯明翰大学微生物与感染研究所和诺维奇科学园区 John Innes 中心合作研究得出,已在“抗微生物化疗杂志”上发表。
三氯生是常用的一种消毒剂,在多种生活用品中常见。研究人员意外发现喹诺酮抗生素耐药的细菌变得更耐三氯生。研究表明,喹诺酮耐药突变改变了细菌将细胞包装在细胞内的方式,这些突变体开启了各种自卫机制 – 包括产生三氯生抗性。喹诺酮类抗生素是目前非常重要也非常有效的抗生素,这一新发现引起了人们对三氯生使用可以产生对喹诺酮类抗生素抗药性的担忧。
人们总是认为细菌是应该被消灭的,因此使用了包括三氯生在内多种措施来消灭细菌,但现在可能发生了反作用,三氯生可能会促进抗生素抗性菌株的生长。认识喹诺酮与三氯生抗性之间的联系很重要,因为三氯生在过去 20 年被广泛使用,已在环境甚至人体组织中普遍存在,需要更多地了解其对细菌的影响,以及这些抗微生物剂是如何影响抗生素耐药性的传播的。
抗生素耐药性已经成为全球一个日益严重的问题。过去十年中,各类抗菌产品的市场销量呈爆炸式增长,这些产品与传统的清洁和卫生产品(如漂白剂,肥皂和水)相比是否安全还缺乏证据。有人担心,一些产品中的活性抗微生物成分
